What are the symptoms of Tuberculosis?

 

 

Tuberculosis (TB) is a disease caused by a specific germ called Mycobacterium tuberculosis. These bacteria can infect a wide range of tissue and organs of the body. The symptoms of TB depend on where the infection is located. TB is a potentially lethal and chronic bacteria. If the patient is not treated the disease will lead to extreme pain and eventually death. Patients die from a breakdown in their respitory system. Early and limited infection may cause few, if any, symptoms but more advanced disease causes general symptoms that include:

 

  • fever
  • chills
  • night sweats
  • weakness
  • weight loss

 

Because tuberculosis can lie dormant it is difficult to design a table to reflect the timespan of the disease. The legnth it takes one to develop cronic tuberculosis also depends on the stregnth of their immune system. Drug users, those with advanced AIDS, diabetes mellitus, silicosis, cancer of the head or neck, leukemia, and/or severe kidney disease will develop the disease at a quicker rate than a healthy person.

 

 

Other notes:

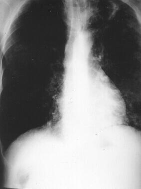
A common site of infection is the lung, known as pulmonary tuberculosis. Infection in the bronchial tubes commonly leads to a persistent cough that may produce sputum and even bloody sputum. If the infection is located in the pleural membrane surrounding the lungs and lining the chest, it may lead to chest pain aggravated by breathing (pleurisy) and shortness of breath due to an accumulation of fluid around the lung. TB can involve the central nervous system and lead to meningitis. This may lead to a headache, stiff neck and high fever. Tuberculosis meningitis usually occurs with widespread disease that has spread to multiple organs. It occurs more commonly in children and in immunosupressed people, and requires emergency evaluation and treatment.

If the infection involves the urinary tract, it may cause pain in the area of the kidney, frequency and pain with urination, and blood in the urine. Infection in the musculoskeletal system may lead to bone infection (tuberculous osteomyelitis) causing spine or other bone pain, or infection of tendons (tenosynovitis) or joints that produces local pain, tenderness and redness. If the infection spreads into lymph nodes, the nodes become enlarged and tender (lymphadenitis).

 

 

http://www.mayohealth.org/home?id=HQ01491z